コンポジットレジン修復
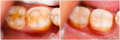
C1~C2のむし歯では、エナメル質に穴が開いたり、むし歯が象牙質の表層部に及んでいたりするので、 酸で侵された部分を削って修復材を詰めます。
最近では、エアタービン(歯を削る機械)でガリガリ削るのではなく、細かい金属の粉を吹きつけて削ったり、 薬でむし歯を軟らかくしてから、小さな器具で少しずつ掻き出すなど、削り過ぎないための工夫を施した治療も行われています。
詰め物として広く使われているのは、プラスチック樹脂のコンポジットレジンです。
パテのように軟らかいが、特殊な光を当てるとすぐ固まります。
色は数種類あるので、自分の歯に近い色を選ぶことができ、審美性(しんびせい)にも優れています。
このコンポジットレジンを、削った部分に直接詰めるのが「レジン修復」で、人目につく前歯や、 奥歯でも噛み合わせ部分だけ浅く削った場合などに用いられます。
型を取って詰め物をつくる必要がないので、通常、1回の治療で終了し、麻酔をする必要がない事が多いです。
インレー修復
むし歯が象牙質のなかまで進んでいると、削る部分が大きく、深くなるので、レジン修復では対応できないことが多くなります。
その場合は、インレーという部分的な詰め物を使う「インレー修復」を行います。
インレーは、前歯にも奥歯にも装着できますが、保険診療でできる主なものは、銀色をした金銀パラジウム合金製です。
患部が前歯で色が気になる場合は、セラミックを用いたインレーを入れることも出来ますが自費診療になります。
インレーをつくるには、まず歯の型を取る。
その型に石膏(せっこう)を流しこんで模型を作製し、この模型を使って、歯の形に合うインレーを完成させます。
歯科技工士に製作を依頼するので、治療には最低でも2回はかかります。
治療の初日は、局所麻酔をしむし歯を削り、インレーを入れるために穴の形を整え、歯の型を取ります。
その日のうちにインレーを入れることはできないので、仮のふたをして帰宅。数日後、再び受診した際にインレーを装着し、歯にぴったり合うよう調整します。
噛み合わせを確認し、問題がなければ歯科用セメントで固定します。
歯髄温存療法
進行度がC2でも、C3に近い段階まで進んでいる場合、歯髄が炎症を起こしていることがあり、 歯髄を除去する治療である「抜髄(ばつずい)」が行われます。
しかし、象牙箕が薄く残っているなら、「歯髄温存療法」により、歯髄を残せる可能性があります。
これは、むし歯を全部削ってしまうと、歯髄が露出してしまいそうな時にとられる」方法です。歯髄が露出すると感染しやすくなるので、あっという間にC3に進む可能性があるからです。
それを避けるために、あえてむし歯を少し残し、象牙質の増殖を促す水酸化カルシウムなどの薬を塗布して、 セメント剤などでふたをします。後日ふたを取り、象牙質が十分に増殖していたら、レジン修復を行います。
象牙質の増殖が不十分な時は、もう一度、薬を塗布してふたをします。
治療期間は長くなりますが、うまくいけば、進行したC2のむし歯がレジン修復で治りますから、メリットは大きいです。
クラウンとブリッジ治療法
むし歯がC3やそれ以上まで進行した治療法としては、クラウンやブリッジという治療方法があります。
むし歯が歯髄(しずい:しんけい)に達したら、歯髄を取り除き、根管治療を行います。
根管治療とは
根管とは、歯の付け根にある歯髄(神経や血管)の入っている細いトンネルの部分で、その部分にある細菌などを綺麗に取り除く治療を根管治療と言います。
歯を削って神経を取り除き、抜髄(ばつずい)の根の中の空洞である根管内から細菌等をきれいに取り除き、根管充填材を詰め、蓋を被せる一般的な治療です。根管治療を行うためには歯冠部を大きく削る必要があり詰め物をはめ込むインレー修復では治療ができなくなり、クラウンという被せ物する治療を行います。
さらにむし歯が進行し、抜歯が必要な場合には、「ブリッジ」、「入れ歯」(部分入れ歯と総入れ歯があります)、インプラント等の人工の歯で補う治療が必要です。

ブリッジ治療は健康な両サイドの歯を削らなければならない事が最大の欠点です。
補綴(ほてつ)
歯を人工物で修復し、その機能を補う治療を「補綴」(ほてつ)と呼んでいます。
補綴治療に用いる人工物は「補綴装置」と総称します。 補綴装置には、材料によって様々なバリエーションがあります。
保険診療では前歯と奥歯に分けられており、それぞれに使える材料が決まっています。
保険診療で認められている材料なら、機能面でも耐久性でも一定以上の質は確保されていますが、審美性はどうしても劣ります。歯は顔の重要な構成要素であり、外見に大きくかかわっています。
どんな歯をしているかで人に与える印象も変わってしまいます。
補綴装置には、機能や耐久性に加え、審美性も求められることが多くあり、保険診療で認められている材料は、審美性の点では今一つのものが多いと言えます。 奥歯にもっともよく使われているのは、金銀パラジウム合金で、いわゆる銀歯がそれに当たります。
前歯は金銀パラジウム合金を土台に、見える部分にだけ、レジンの強度を高めた硬質レジンを貼りつける「硬質レジン前装冠」が認められています。 歯の表側は白いが、裏側は金属のままなので、食べたり話したり笑ったりした時に、金属が見えてしまうことがあります。
銀のクラウン
冠全体が金属(銀歯)で出来ている、いわゆる「銀歯」です。
保険では「金銀パラジウム合金」と「ニッケルクロム合金」の2種類があり、クラウンに使用できる保険適応の金属として指定されています。(ほとんどの場合、金銀パラジウム合金が使用されます)
保険でクラウン(かぶせ物)を作る場合には、基本的に前から4番目以降の歯はすべてこの金属冠(銀歯)になります。
ほかの歯と同じような色にしたい時は、セラミックのクラウンを使います。
自由診療になるので、価格は高価になります。
メタルボンド
セラミッククラウンにはいくつか種類がありますが、もっとも一般的なのは「メタルボンド」といって、 金合金などの金属にポーセレン(陶材)を焼きつけたものです。
見た目はほかの歯と区別がつかないほど自然ですが、欠点もあります。 歯ぐきが下がってくると、金属とポーセレンの継ぎ目が見えたり、歯ぐきのきわが黒ずんだりします。
オールセラミッククラウン
「オールセラミッククラウン」は、土台はセラミックの一種であるジルコニアでつくり、その上にポーセレンを焼きつけます。
何年たっても歯ぐきが黒ずむことはありません。
ただし、これにも欠点がありポーセレンを焼きつけているので、使っているうちに欠けることがあります。
ハイブリッドセラミッククラウン
超微粒子のセラミックとレジンを混ぜ合わせた新素材でつくるものです。 セラミックのような色調と硬さ、レジンの折れにくさを併せ持っていますが、審美性、耐久性はやや劣ります。
ハイブリッドセラミッククラウンこのように、自由診療で使える材料の選択肢もたくさんあり、それぞれの材料の特徴、 長所、短所、料金などをよく理解し、自分のニーズに合ったものを選んで下さい。
オールジルコニアクラウン
「オールジルコニアクラウン」はすべてをジルコニアでつくったものです。 ジルコニアは白色ですが、ポーセレンのような透明感のある自然な色ではないので、着色して天然の歯に近づけます。
アメリカでは、すでにこのタイプが奥歯では主流になり、日本でも需要が伸びているそうです。