成人の多くが歯周病にかかっています。
関連が大きく位置づけられていのは、生活習慣病と言われています。
歯周病の一番の治療は「歯をきれいにすること」です。
多くの治療は保険が適応されますので、歯(口腔内)をきれいにし、身体全体を健康にする為のお手伝いをさせて頂きます。
歯周病とは
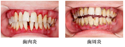
歯周病は、炎症が歯肉(歯ぐき)におこる歯肉炎と歯槽骨を含めた歯周組織にまで炎症が広がった歯周炎の総称で歯周疾患とも呼ばれます。 歯肉にのみ炎症が起こっている段階を「歯肉炎」、歯周組織に炎症が広がってしまった段階を「歯周炎」といい、これらを総称して、「歯周病」と呼びます。
歯周病の初期に当たる歯肉炎の段階でしたらで歯垢(プラーク)や歯石をしっかり除去すれば、その後、生活習慣の改善と口腔内ケアを自身で行えば、健康な歯肉を取り戻すことが出来ます。
しかし歯周炎にまで進行すると、歯と歯肉との間に歯周ポケットという溝ができてしまっているため自身の努力では改善出来ません。歯科医師による治療が必要です。

歯周病の特徴
歯周病の特徴として、その多くははっきりとした症状が出ないまま進行し、数年かけて重症化して行くことです。歯周病は、加齢とともにリスクが高まり、歯を失う大きな原因となりますが、このほかにも、全身の様々な病気に悪影響を及ぼすことが明らかになっています。
歯周病と全身疾患の関係
歯周病の原因となる歯周病菌が口腔内で増えると、それが血管を介して全身に広がります。
そして全身の様々な場所で微少な炎症を導き、多くの疾患の引き金になり、重症化させたりします。
中でも注意が必要なのは糖尿病で歯周病を併発している患者さんは、糖尿病の治療をしても、なかなか血糖値が下がらない傾向で、糖尿病を悪化させる面があるようです。

逆に全身疾患が歯周病を進行させる場合もあります。
例えば、糖尿病の場合血流が悪くなるため、歯周組織に酸素や栄養が十分に行き届かなくなり、歯周病の原因となる菌が増加します。
また、全身の免疫力も低下して、菌を排除する働きが弱くなり、歯周病が重症化します。
他に歯周病と関係の深い疾患としては、心血管系疾患、細菌性心内膜炎、誤嚥性肺炎、低体重児出産、糸球体腎炎、関節リウマチなどがあります。
歯周病を予防・治療することはこれらの疾患の予防・治療にもなります。
歯周病になる一般的なプロセス
歯は、歯肉・セメント質・歯根膜・歯槽などの「歯周組織」によって支えられており、 容易には抜けないようになっています。歯周病は、その歯周組織が侵される病気です。
健康な状態でも、歯と歯肉の境目には、小さな溝(歯肉溝)があり、汚れがたまりやすくなつています。
歯磨きなどで汚れを取り除いていれば問題ありませんが、ケアを怠っていると、 この溝にネバネバとした物質がたまり細菌がすみつきやすく、やがて細菌の塊であるプラークが形成されます。
プラークを放置すると、歯肉に炎症が起こり赤く腫れ、歯と歯肉の間の溝が広がって「歯周ポケット」が形成されます。 プラークは、当初は軟らかいので、歯磨きなどで取り除くことが可能ですが、ケアを怠りますと徐々に硬くて除去しにくい歯石へと変化します。
歯周ポケットのなかにプラークや歯石が付着すると、ポケットはますます深くなりますが、この段階で、プラークや歯石を取り除く治療を受け、 自分でも歯みがきなどの適切な口腔のケアに努めれば、歯周ポケットは概ね元に戻ります。
しかし、ケアを怠り放置を続けていると、歯周ポケットのなかで菌が繁殖しますます深くなり、歯周組織の炎症も広がり、 歯槽骨が溶かされ、歯を支える土台がすべてなくなって、ついには歯が抜け落ちてしまいます。
歯周病になりやすい人
- もともとなりやすい体質(遺伝)
- 喫煙している・ストレスが多い・肥満であるなと、生活習慣に問題がある
- 中年以降
- 尿病などの免疫力が低下する病気を持っている
喫煙は、有害物質が末梢血管の循環障害、局所免疫機能の低下組織修復機能の低下を引きお越し、プラークを増加させて炎症を大きくします。
なお男性よりも女性のほうが、歯肉炎になりやすい傾向にあります。
「妊娠性歯肉炎」は、女性ホルモンが多く分泌きれるために、歯肉が腫れる病気です。
生理中に女性ホルモンが上昇すると発症する「思春期性歯肉炎」もあります。
また、閉経後の骨粗しょう症と歯周病との関連についての研究論文も増えています。

