一回法(フラップ手術)
歯科医師の技量と患者さまの状態により行う方法
1回法は、外科手術が1回で済みますので、患者さまに心身のストレスがかかりにくいというメリットがあります。
治療にはインプラント体とアバットメントが一体化した1ピースタイプのインプラントを使用します。
手術の手順は、歯茎を切開して歯槽骨に穴を開け、インプラント体を埋め込みます。
この時、頭部を歯茎の外に露出させたまま、骨の結合を待ちます。
この間、仮歯を装着することもできます。
数カ月後、 骨がしっかり結合したことを確認し、人工歯を装着したら完成です。
1回法はコストや治療期間を抑えられますが、アバットメントが露出しているため、感染リスクがやや高まりますので、骨や歯茎の状態が良好な人向けの手術法です。

無切開無痛手術(フラップレス)
歯ぐきの切開・剥離をしない手術方法
無切開無痛手術とは、一回法と同じく、条件が整わないと出来ない方法で、歯肉を切開・剥離せずに、歯肉に直径4mm程度の穴を開け(開けないときもあります)、 その穴からインプラントを埋入するため、身体に優しい手術方法です。

無切開無痛手術のメリット
外科治療の基本は、手術野を目で見て確認しながら手術を行うことです
無切開無痛手術は、術者がインプラントを入れようとしている骨の状態を直接目で見て確認することができないといった欠点があります。
無切開無痛手術は充分な経験をつんだ歯科医師が適応症を厳格に選定し、確実な準備が出来る場合にのみに選択されるべき手術方法だと考えられます。
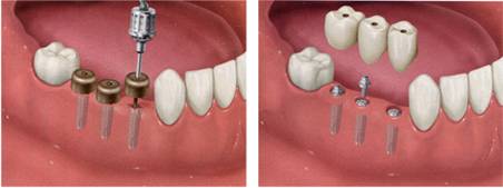
二回法(フラップ手術)
昔からの基本的で安全な方法
目視によるフラップ手術では、歯茎を切開してはがし、顎の骨を露出させて手術を行います。
コンピュータ・ガイド手術とは異なり、術者の目と手によるインプラント手術です。
二回法では、外科手術を二回行います。
手術を二度行う二回法は、一回法よりも体への負担、治療期間や費用も多少多めになるのが一般的です。
しかし、安全性が高く、ぎまぎまな症例に対応できるのがメリットです。
まず一次手術で歯茎を切開し、インプラントを埋入します。ここまでは一回法と同じですが、二回法はインプラントを歯茎で覆って縫合し、骨と結合するまで3か月~5か月程度の間待ちます。
頭部が露出しないので細菌感染のリスクは一回法より低くなります。
骨が結合したら、二次手術で歯茎を再度切開してインプラントを露出させ、アバットメントを連結して歯茎を縫合します。
このときアバットメントには、保讃用のキャップか促歯を装着しておき、歯茎の傷が治ったら、人工歯を取り付けて完成です。
